Dental Crowns
Exceptional Care Without Exception
Dr. Turner founded his practice in 1991 and has provided exceptional dental care to generations of families who appreciate the personalized, compassionate attention they get from a dentist in private practice.
Serving Blue Springs and Kansas City, MO
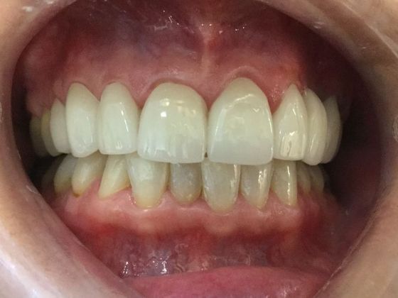
Beautiful & Durable All-Porcelain Dental Crowns
"I found my new dentist." Happy Reviews From Our Kansas City Patients
First and foremost, I hate going to the dentist. Granted, Dr Turner just looked over my teeth, but I felt comfortable. He definitely listened to my concerns. As of right now I found my new dentist
View on GoogleExcellent Care. Friendly Staff. Beautiful office for Adults and kids. Appointment always on time. I've been a patient over 10 yrs and always had good care. Thanks Dr Turner and staff for your care friendliness and making your office feel comfortable.
View on GoogleDo You Have an Emergency? A Broken Tooth? Sudden Pain?
If you've cracked a tooth or one suddenly starts hurting, we are available for emergency treatment. Waiting too long for treatment may lead to further damage and require an extraction or root canal.
A Long-Lasting and Beautiful Solution Effective Treatment for Compromised Teeth
Protect Vulnerable Teeth
By placing a crown over a weakened tooth, Dr. Turner can help you avoid additional damage to the tooth that could lead to losing the tooth entirely and require even more restorative dental work.
Last for Years
Dr. Turner uses highly durable zirconia to create all-ceramic crowns. Zirconia is prized for being biocompatible, which makes it ideal for patients who are allergic to the alloys used in porcelain crowns with a metal base.
Restore Your Smile
Dr. Turner's custom all-ceramic crowns seamlessly blend in with your other teeth. He carefully matches the color to give you natural-looking results. Zirconia is exceptionally smooth and better mimics the look and feel of natural teeth.
Are You Concerned About a Tooth? Do You Need Answers?
No question is too small for the team at Matthew A. Turner's practice in Blue Springs, MO.
As a private practice dentist serving Greater Kansas City, Dr. Turner sets aside time for patients to answer all their questions. Because he understands that a picture is worth 1,000 words, he'll show you digital images, so you better understand what's happening in your mouth.
From our iTero 3D digital scanner that precisely replicates your tooth, to our high-end dental materials, we combine high tech with compassionate care to give you a beautiful, healthy smile that can last for years.
We have an office in Blue Springs and serve the Greater Kansas City area. Reach us by phone for an appointment today:
"Dr. Turner is so gentle and kind." We Make Comfort a Priority
Dr.Turner and his staff are wonderful to work with. He is very gentle and good at explaining all processes. I would highly recommend Dr.Turner!
View on GoogleDr Turner and staff are the best! I have been going to their office since I was a teenager and my parents have gone to the office even longer. Dr. Turner is so gentle and kind and the hygienist is great! They always make me feel so comfortable and welcomed! Highly recommend!
View on GoogleAre You Looking for a Cosmetic Solution? Crowns Can Improve Your Smile
What Is a Dental Crown?
A dental crown is a custom-made cap that completely covers a weakened tooth. They are used to protect and restore the shape of teeth when a filling can't effectively restore the tooth. While crowns can be made of many materials like resin or porcelain, Dr. Turner uses high-tech zirconia to create durable crowns that look and feel natural.
With good oral hygiene habits and regular dental visits, a dental crown can last 10 years or longer.
Do Big Syringes Make You Nervous?
We understand. For many people, it's not the dental treatment that makes them uncomfortable, it's the injections to numb the area that makes them wince.
Dr. Turner is the only dentist in Jackson County who uses the state-of-the-art Wand anesthesia system, a computer-controlled method to administer anesthesia; it makes the numbing step more comfortable. Instead of a big syringe, the Wand looks like a small pen with a cord attached.
Most patients report that injections with the Wand are completely painless.
Are You Missing a Tooth? Consider an Implant-Supported Crown
Missing teeth are more than just embarrassing, they can also lead to deterioration of the bone in your jaw.
While people often use a traditional bridge to replace a tooth, a traditional bridge is not ideal because it only replaces the missing tooth above the gumline. The tooth root stimulates the bone in your jaw, and without this stimulation, the jaw begins to weaken and deteriorate.

In contrast, an implant-supported crown restores the entire tooth, including the root. With an implant-supported crown, the crown is attached to a titanium rod that is inserted into the jawbone. This rod, which is the dental implant, acts as the tooth root and encourages the jaw to continually rebuild bone. Dr. Turner can refer you to a skilled oral surgeon to place the implant, and then you can return to our Kansas City, MO, office to have it restored with a crown.
Dental implants are the only way you can prevent the weakening of your jaw after a tooth has been lost.
Invest in Your Dental Health With Dental Implants
With the proper care, your dental implants can last for your whole life. They are an important investment in your dental health, allowing you to eat, smile, and laugh confidently.
Whether you need a new crown to place on your existing dental implant or you're just beginning your implant-supported crown journey, Dr. Turner can help.
You will be referred to a trusted oral and maxillofacial surgeon in the Kansas City area for implant placement. Dr. Turner and the surgeon will then collaborate on a cohesive treatment plan with long-term benefits to your oral health.
Prioritize Your Smile Request a Consultation
Your dental crown can last ten years or longer with proper cleanings, regular dental visits, and good oral hygiene habits. Dr. Turner and his highly experienced team have over 135 years of combined dentistry experience and continue to push themselves to learn more every day. Since he was in the sixth grade, Dr. Turner has dreamt of being a dentist. Now, around 30 years later, Dr. Turner runs his private practice. Since we're a private dentistry practice, we take the time to understand you and your oral health personally. Investing in high-quality dental crowns can transform your oral health and the function of your smile. Greater Kansas City, MO, residents can call to request a consultation at our Blue Springs, MO, office:
(816) 229-1433
"I found the right dentist." More 5-Star Reviews
So I found the right dentist. This office is very inviting and professional but down to earth and makes you feel so comfortable. Sometimes I have a bit of anxiety at a dentist office but they explained everything and use the most updated procedures where I was not worried at all. Great place and I will not need to look any further for a dentist.
View on GoogleAbsolutely the very best dentist I have ever been too. Staff is warm and Dr. Turner is hilarious and gentle. He does great work and really helped me gain my self confidence in my smile back. I recommend him to everyone I get a chance to!
View on GoogleWe Can Replace Your Old Crowns With Gorgeous All-Porcelain Restorations
If you have noticeable metal crowns or older crowns that have lost their luster over the years, come to our practice in Greater Kansas City to refresh your smile. Dr. Turner can design and place brand-new customized ceramic crowns that look natural and feel great.
Watch How a Dental Crown Is Placed
What to Expect
Experience professional care in an enjoyable, state-of-the-art environment.
Find Relief Soon With a Custom Set of Durable Crowns
Tired of not being able to eat, smile, or live without pain? You may need a dental crown.
Though it can take a little time to craft your custom crown, you won't have to wait much longer for relief. Dr. Turner can place a temporary crown on your tooth. That way, when you leave our office, you have a solution in place until your permanent crown is ready.
Once the final crown is crafted, the temporary crown can be removed and your smile can be fully restored.
To get the process started, contact our Kansas City office or call:
(816) 229-1433
A Closer Look at the iTero 3D Digital Scanner
The material of your crown, like resin and zirconia, can impact its longevity.
What Are Dental Crowns Made Of? We Use All-Ceramic Zirconia
Dental crowns are made from a variety of materials, but Dr. Turner only uses high-end zirconia. While zirconium is a relatively new material for restorations, it combines the strength of metal with the aesthetics of porcelain.
There are cheaper dental materials, such as resin, that can be used for restorations, but Dr. Turner finds that many of them cost more in the long run. For example, resin restorations wear quickly and are more likely to break. Porcelain that has been fused to metal is another restoration material he avoids as the porcelain tends to chip and break off the metal base.
"Thank you, Dr Turner and crew, for taking such great care
of my family and me!!"
More 5-Star Reviews From Kansas City, MO, Patients
My family has been going to Dr. Turner for over 25 years. Initially, when one of my kids had her first appointment she was super scared. Dr. Turner sat with her and talked to her for the first half dozen appointments before she would let him look at her teeth! He was so patient and kind. His office is always friendly, prompt, and provide great care. I had a dental emergency and they worked me in on a Friday! I do not go to any other provider.
View on GoogleI’ve been a patient of Dr. Turner’s for over 2 decades. Everyone is kind, easy to work with, accommodating and make going to the dentist enjoyable! I have never had a bad experience there. I’ve referred others and will continue to do so. Thank you, Dr Turner and Crew, for taking such great care of my family and me!!
View on GoogleInsurance and Financing Information For Dental Crowns
If your crown has a medically necessary purpose, like protecting a damaged tooth, it's likely that your insurance provider will help cover your costs. If your crown is purely for cosmetic purposes, like masking tooth discoloration, it won't be covered.
We accept many types of dental insurance and will gladly work with your provider to maximize your benefits. If you are uninsured, have high out-of-pocket costs, or are receiving cosmetic crowns, we can help you manage the price of your treatment through financing. We work with CareCredit, a healthcare lender that offers loans with little or no interest and monthly payment plans that work for your budget.
Need More Than Just a Dental Crown? Full Mouth Reconstruction Can Transform Your Smile
If you're looking to address dental health issues that crowns can't treat on their own, consider full mouth reconstruction. This fully customized treatment plan combines procedures that are specifically chosen to meet your unique needs.
You can work alongside Dr. Turner to select the treatments that are right for you. Your full mouth reconstruction may include crowns, tooth-colored fillings, periodontal care, or anything else that helps you achieve the happy, healthy smile you're looking for.
Want to learn more about what full mouth reconstruction can do for you? Set up a consultation at our practice serving Kansas City by contacting us online or calling:
(816) 229-1433
Caring for Your Dental Crowns
Don't Use Your Teeth as Tools
Your crowns will be durable enough to withstand the force of your bite but contact with hard objects can cause them to chip or crack. If you bite your nails or use your teeth to open packages, you run the risk of damaging your crowns. Though we may be able to repair your crown at our office in Greater Kansas City, we know it's preferable to avoid additional trips to the dentist, so we recommend being mindful of these habits.
Avoid Staining Substances
Our all-porcelain crowns are designed to resist staining, but they can still become discolored by frequent consumption of certain foods and beverages. Red wine, coffee, marinara sauce, and other pigmented substances can stain your crowns if consumed on a regular basis. You don't have to eliminate any of your favorite foods and drinks from your diet — just eat and drink them in moderation to maintain the brightness of your smile.
"Dr. Turner and his staff made me feel comfortable and at ease." Our Patients Leave Glowing Reviews
This is the best dental office I have ever been too!!! I have crowns on all my teeth and they have always been extremely sensitive. For that reason I am always afraid to have any work done. Dr. Turner and his staff make me feel very comfortable and at ease with no pain. I highly recommend them!!
View on Google
For a long time one of my biggest fears was going to the dentist. This place really knows how to help people with high anxiety get through their appointments.
