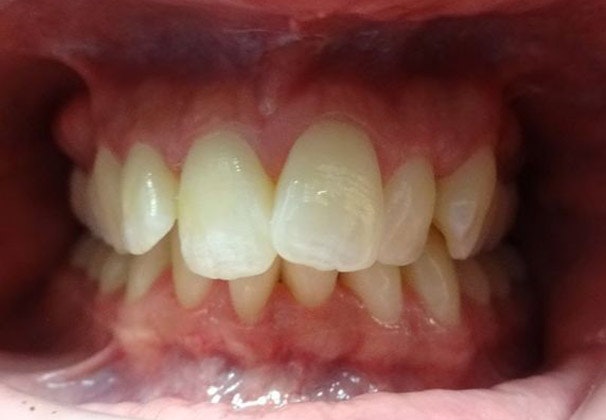
Crooked Teeth
Why Correct Crooked Teeth?
Improved Appearance
Crooked teeth can undermine the beauty of your smile. Often, patients with crooked teeth avoid smiling because they feel self-conscious about their appearance. If you are unhappy with the way your crooked, misaligned teeth make you look, you may benefit from treatment.
Better Oral Health
Crooked teeth can make it hard to reach certain areas when brushing and flossing. This can lead to a build-up of bacteria and may put you at risk for developing decay or gum disease. Straight teeth can result in more effective cleaning.
Balanced Bite
When your teeth are crooked, you may have a misaligned bite which can result in speech problems, headaches, jaw discomfort, and excessive biting of the tongue and cheek. Without treatment, a TMJ disorder or other serious oral health concerns may develop. A more balanced bite can prevent these costly and painful problems from developing.
Do I Have to Get Braces?
/
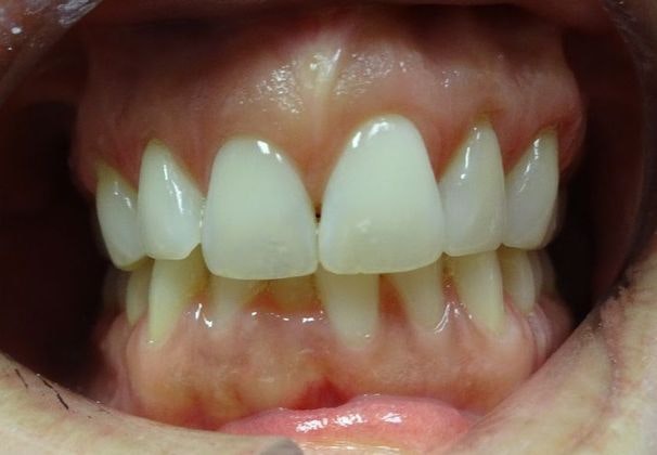
While many patients may assume that metal braces are the only option to fix their teeth, Dr. Matthew A. Turner can provide cosmetic treatments to correct both superficial and substantial needs, including Invisalign and porcelain veneers. His diverse skill set allows him to customize your treatment for the best possible results.
Ready to Love Your Smile? Request a Consultation
When patients come to Dr. Turner's practice to correct or conceal misalignment, they receive care from a dentist who has over 30 years of experience. Dr. Turner has a track record of creating treatment plans that help patients achieve the smile of their dreams on their terms. We can help you do the same.
If your teeth are crooked, we invite you to explore our treatment options to correct or conceal your misalignment. Allow our dental team to learn about your unique circumstances so we can make the best recommendations based on your needs. To request a consultation and explore your options for a straighter smile, call our Kansas City, MO, dentistry office:
(816) 229-1433
"Dr Turner and his team worked hard to give me straight teeth" 5-Star Reviews From Kansas City, MO, Patients
Dr. Turner and all of his staff are also very patient and caring. You will not find another dentist with more reasonable plan of action for your oral care. Dr Turner also offers Invisaline teeth straightening. I had significantly crooked teeth. Dr Turner and his team worked hard to give me straight teeth at the age of 43!
View on GoogleI’ve been a patient of Dr. Turner’s for over 2 decades. Everyone is kind, easy to work with, accommodating and make going to the dentist enjoyable! I have never had a bad experience there. I’ve referred others and will continue to do so. Thank you, Dr Turner and Crew, for taking such great care of my family and me!!
View on GoogleShould I See an Orthodontist?
/
While Dr. Turner doesn't perform traditional orthodontic treatments like braces, he is a qualified Invisalign provider who can offer you a wider variety of dental solutions than a traditional orthodontist. If patients don't qualify for Invisalign, Dr. Turner can use cosmetic dentistry to conceal minor misalignment.
Your Treatment Options
Invisalign
A popular alternative to traditional braces, Invisalign is an orthodontic option that can straighten your smile using aligner trays. The aligners are clear, BPA-free plastic for more discreet, comfortable, and often faster treatment. Invisalign is an ideal solution for many teen and adult patients with misaligned teeth who have avoided traditional orthodontic options due to social concerns.
Porcelain Veneers
Veneers are thin shells that cover the entire front of the tooth. Porcelain veneers may be a viable option if you only suffer from slightly crooked teeth or a single tooth that is misaligned; however, it is important to remember that veneers will only conceal teeth, not correct the misalignment.
Dental Bonding
Like porcelain veneers, dental bonding is designed to cover dental imperfections; however, bonding is a more affordable alternative. Dental bonding uses a composite bonding material that is molded over the tooth to improve its appearance.
Smile Makeover
If you wish to target multiple cosmetic concerns in addition to crooked teeth, a smile makeover may be the ideal solution. Our dentist can combine treatments and create a custom plan to transform the appearance of your smile, once oral health concerns like tooth decay and gum disease have been addressed.
We Use Digital Impressions
Instead of traditional putty impressions that can be messy and uncomfortable, our Kansas City office uses the iTero® scanner to capture 3D images of our patients' teeth and gums digitally. With this technology, impressions are faster and more accurate.
"Excellent dentist and fantastic staff." More 5-Star Reviews From Kansas City, MO, Patients
Dr. Turner has been my dentist for about 20 years. I probably drive past 20 other dental offices when I see him. Excellent dentist and fantastic staff.
View on Google10 out of 10 would definitely recommend Dr.Turners office to anyone needing a first time dentist or a new dentist! Turner and his team are amazing at there jobs and treat you just like part of their family!
View on Google