Full Mouth Reconstruction
The Basics of Full Mouth Reconstruction
Full mouth reconstruction is a customized treatment plan meant to address several dental issues at once. The primary goals of full mouth reconstruction are to restore your oral health and the functionality of your bite.
There are a variety of different restorative treatments you can include in your full mouth reconstruction. The purpose of these procedures is to repair damage, eliminate disease, and replace missing teeth as needed.
Your reconstruction can involve more complex procedures, like dental implants, as well as simpler treatments, such as dental bonding and fillings. While some patients may need just two or three treatments, others will need more procedures to achieve their desired results. However, no matter your needs, Dr. Turner can design and implement a treatment plan that gets you back on track to optimal oral health.
What Sets Our Dental Office Apart?
Our team, led by Missouri native Dr. Matthew A. Turner, has over 135 years of combined experience in dentistry. We supplement this extensive experience by completing over 100 hours of continuing education every two years to ensure our techniques stay on the cutting edge.
We have invested in various high-end dental technologies, including 3D digital scans, so that every procedure, from dental implant placement to a basic exam, is performed as effectively as possible. Our technology also allows us to expedite treatment plans when appropriate.
Keeping patients comfortable and at ease is our priority. We have fun and love to laugh as we work with our patients. We also focus on patient empowerment and will ensure you are well-informed about every aspect of your personalized full mouth rehabilitation.
Let's Get Your Smile Back on Track Request a Full Mouth Reconstruction Consultation
Each full mouth reconstruction plan is personalized to meet individual needs, so every treatment plan is a little different. During your consultation, you and Dr. Turner will design your unique treatment plan, carefully choosing procedures best suited to meet your goals. Unlike corporate dental offices, Dr. Turner leads a private practice and avoids long, drawn-out treatment plans.
Dr. Turner has extensive knowledge and experience performing full mouth reconstructions. His skill with dental implants allows him to powerfully combine and optimize various procedures. Our dentist will work tirelessly to ensure you achieve optimal dental health and a beautiful smile. All you have to do to get started is reach out to us to request your consultation at our Blue Springs dental office.
(816) 229-1433
"Makes your teeth look and feel the best" Great Reviews From Kansas City Patients
Matthew Turner and his staff are incredible. I struggle with being so anxious every time I go to the dentist and every time I have an appointment they go above and beyond to calm my nerves. I would highly recommend Matthew Turner.
View on GoogleSuch a professional and very friendly staff Dr Matt Turner is very top notch and treats you like family and makes your teeth look and feel the best I would highly recommend Dr Turner and his whole staff to switch and be treated like family Dr Turner is highly skilled at his craft and will always give you the honest and best opinions
View on GoogleHow Is Full Mouth Reconstruction Different From a Smile Makeover?
While oral health and function are the goals of full mouth reconstruction, a smile makeover exclusively focuses on cosmetic dental improvements. For example, a smile makeover may include the placement of veneers. Veneers conceal aesthetic flaws but do not protect teeth. A full mouth reconstruction plan may instead include crowns, which restore the shape of teeth while providing crucial protection.
Despite not primarily focusing on aesthetics, many procedures involved in full mouth reconstruction do enhance appearance. Our dentist utilizes beautiful, natural-looking restoration materials whenever possible. This means his full mouth reconstruction patients can drastically upgrade the look, form, and function of their teeth.
We Can Also Include
Periodontal Treatment
/
Infections and inflammation in your gums can lead to harmful periodontal disease. While early symptoms like swelling and sensitivity may not seem serious, untreated periodontal disease can cause the spread of infection to your jawbone, tooth shifting, and tooth loss. Dr. Turner can treat gum disease and help prevent further issues with advanced periodontal care.
Give Your Smile the Fresh Start It Deserves Book a Consultation to Begin
When you put off dental care, it invites a host of oral health issues that can quickly snowball into a seemingly out-of-control problem. This is the situation that many full mouth reconstruction patients find themselves in when they first reach out to our Kansas City–area dental practice. We promise you, no matter the condition of your smile, we are ready and more than capable of helping you.
Our team has seen smiles in all states, and our only goal is to help patients get back to the health and confidence they deserve, not judge or shame them in the process. If you're near Kansas City, we'd love the opportunity to show you how dentistry was meant to be. Send us a message online or give us a call today.
(816) 229-1433
Kansas City Patients Feel Comfortable With Dr. Matthew Turner and Our Team
"I’ve had years and years of bad dental experiences. However, that changed after my first visit with Dr. Matt Turner and his staff! I remember leaving their office after my appointment and tearing up because I finally felt an ease I had never had before. The camaraderie of the staff is genuine and I don’t dread going to the dentist! No matter the procedure, you are entertained and there is always laughter!" Callie K., 5-Star Google Review
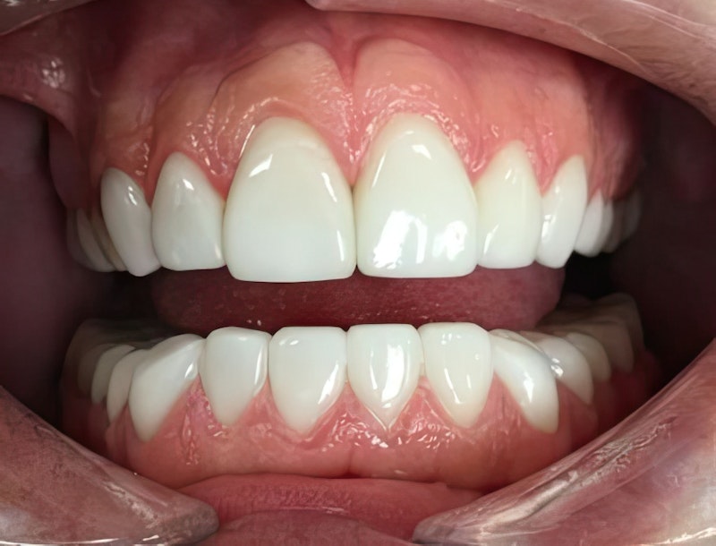
See Our Results For Yourself
How We Make Dentistry Affordable
Full mouth reconstruction can truly transform your life. Unfortunately, some patients may avoid pursuing treatment due to worries about cost. Dr. Turner is dedicated to making his dental care as affordable as possible. One major way he does this is by accepting CareCredit®, a third-party financing option that allows patients to pay in convenient monthly installments with little or no interest.
Because full mouth reconstruction is restorative, many of the included procedures are eligible for insurance coverage. We're pleased to accept many forms of dental insurance, and a member of our staff can work with you to help maximize your coverage.
We Calm Anxiety
& Numb Pain
/
Dental anxiety is a common struggle. We help Kansas City patients deal with this issue in multiple ways. Dr. Turner can prescribe oral sedatives to keep you deeply relaxed throughout your full mouth reconstruction procedures. He can also use a pen-shaped device known as The Wand®, which delivers precisely targeted, pain-free anesthesia.
"Wish I would have found them 20 years ago!" More Kind Words for Our Greater Kansas City Team
If you’re looking for a great Dentist, Dr Matt Turner and his Team are amazing! I wish I would have found them 20 years ago! Definitely a friendly and welcoming environment! Wonderful experience!
View on GoogleGoing to the dentist is never a fun thing for me (bad teeth) but going to Dr.Turner’s office makes it better. Everyone in that office is friendly and completely understand my nervousness of being there!
View on Google